割包皮手术硬了这样正常吗,有图片
刚开始有那个硬硬的,应该是正常的,时间久了会好些,但完全恢复可能不行吧,必竟那个地方是补过疤的。 回答病情分析 你好!你说的情况考虑为正常的包皮术后改变!一般而言由于包皮手术短暂破坏拉正常的局部组织功能尤其是末梢循环...
甘精胰岛素的作用(糖友的福利来了2种新胰岛素高浓度胰岛素和一周一次的胰岛素)
对于糖尿病患者来说,胰岛素一定不会陌生,但现实中不少糖尿病患者是比较抗拒注射胰岛素的,原因有两个:一是误认为注射胰岛素后就不能停用了;二是目前大多数的胰岛素都需要每天注射2-4次,许多糖尿病人认为使用起来比较麻烦。但...
平均红细胞血红蛋白含量偏低是什么原因
1、类风湿关节炎及急慢性肾炎这些疾病可能导致身体内部出血或红细胞破坏增加,进而引起血红蛋白量减少,导致平均红细胞血红蛋白含量偏低缺铁性贫血在缺铁性贫血中,由于体内铁元素缺乏,导致血红蛋白合成受阻,从而使得平均红细胞血...
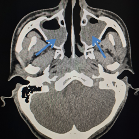
双侧上颌窦炎能自愈吗
1、左侧上颌窦炎的治疗方法主要取决于病情的严重程度以下是针对左侧上颌窦炎的几种主要处理方式增强免疫力如果左侧上颌窦炎仅是单纯的黏膜肥厚,且没有脓液聚积,可以通过增强免疫力来达到自愈的目的具体措施包括锻炼身体和改善饮食...
肺部低分化腺癌能治好吗(随访五年进展不明显的结节结果居然会是腺癌)
前言:我这么多年专注于肺结节,有个总结自认为挺好,那就是良恶性的判断“单次看影像,随访持对比”。总体上若是随访相对稳定并无显著进展的,容易是良性,随访对比的变化比单次影像上的恶性特征更能说明问题。这个认知也是多年总结...
肩周炎的锻炼方法有哪些
1、肩周炎患者可通过以下锻炼方法进行治疗一钟摆运动身体站直,双脚分开与肩同宽,双手自然下垂患肢自然下垂,以肩关节为轴心,做前后摆动,幅度由小到大每次摆动3050下,每天早晚各一次该运动通过被动活动肩关节,促进局部血液...
反复低烧是什么原因?(长期低烧查不出原因可能不是病)
生活中常有这样的情况:有人反复低烧,体温不算太高,医院检查却查不出炎症,吃退烧药也只能暂时缓解。就像一台机器,没出大故障,却总在"低热运行",这背后可能藏着中医说的"气虚发热"——不是外来的病邪作祟,而是身体的"能量...







京公网安备11000000000001号
京ICP备11000001号