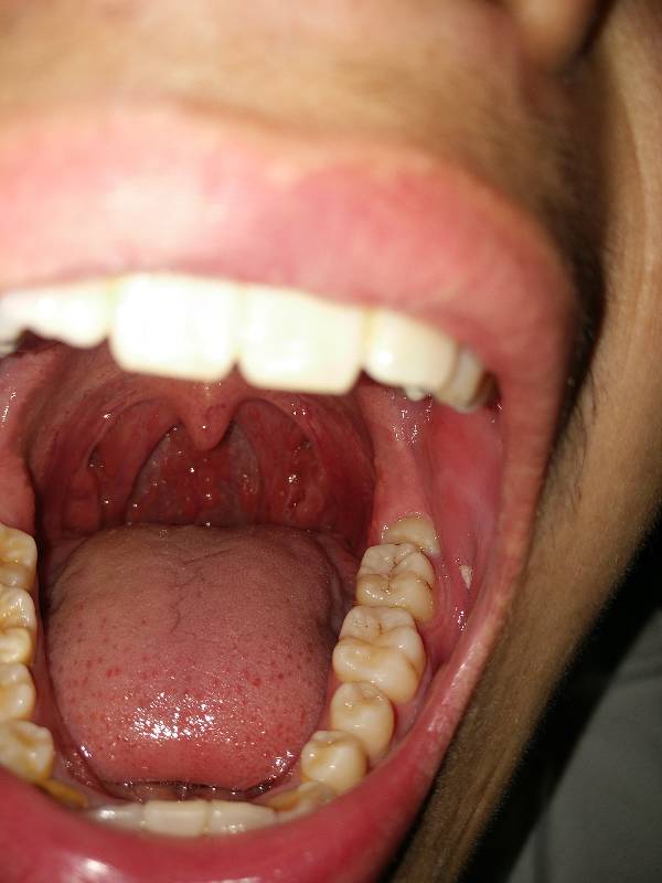
嗓子里感觉有东西堵着
感觉嗓子有东西堵着,通常是咽部异物感的表现,最常见的病因是慢性咽炎以下是关于这种感觉的详细解释病因慢性咽炎是咽部异物感最常见的病因其他因素感冒急性咽炎的反复发作辛辣饮食烟酒刺激空气中有害气体的刺激粉尘过度用声等都可能...
鱼腥草的功效(鱼腥草有什么功效3个作用尤为突出)
夏天时节,清清的食欲不是很好,吃不下饭,偶尔会做道“凉拌鱼腥草”当晚饭,但是清清的妈妈却认为只是在慢性自杀!原因是鱼腥草属于中药材,含有马兜铃酸,吃多了容易致癌!清清很疑惑,一道普普通通的凉菜竟然也有致癌危险?今天我...
乳癖散结颗粒的主要功效是什么?(3种用于乳腺增生的中成药)
现在的女性工作压力大,家庭生活也不轻松,情绪不佳、郁闷、不开心是常有的事。长久下去,不仅吃饭不香了,睡眠也不好了,一体检,发现不是有甲状腺结节,就是有乳腺增生。...
女人高潮从阴道里流出好多水那是什么可以喝吗(女性阴吹是什么这种情况正常吗别害羞)
陈丽(化名)今年25,和老公结婚半年,他们一直相互信任,享受着他们的美好婚姻生活。但最近,陈丽发现自己在性行为中经常出现阴吹,这让她很尴尬,不知道这是否是正常现象,也不知道该怎么处理。陈丽向她的朋友和妈妈咨询这个问题...
白带检查清洁度二度是什么意思(白带清洁度II)
清洁度。1. 二度白带在做妇科检查时第二度属于正常情况。2. 一度、二度是属于正常的分泌物,里面有正常的。在做静检的时候有一些简单的几个白血球,大量的阴道上皮细胞或者有其他一些小的杂菌,这都没问题。...
你好,R环是什么环,伽玛环又是什么环,他(不仅性价比足性能也很强劲 618买相机选这几款准没错)
马上又要到一年一度的“618”狂欢了,相信不少摄影爱好者们早已备好钱包蠢蠢欲动了吧,而且夏日阳光明媚,也正是旅行的大好时节,此时正需要一台相机来记录你的幸福时光!说到相机,目前最热门的非微单莫属了,小巧的机身对比厚重...



京公网安备11000000000001号
京ICP备11000001号