烧伤吃什么消炎药好的快?(烫伤在医生的指导下用磺胺嘧啶银乳膏湿润烧伤膏等药)
烫伤在医生的指导下用磺胺嘧啶银乳膏、湿润烧伤膏、莫匹罗星软膏等药好。具体分析如下:1.磺胺嘧啶银乳膏:磺胺嘧啶银乳膏为磺胺类抗菌药,主要用于预防和治疗轻度烧烫伤继发的创面感染,可使创面干燥、结痂,烫伤在医生的指导下用...
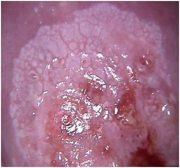
阴道镜能检查出来什么
阴道镜能检查出多种与女性生殖健康相关的疾病和问题阴道镜检查是一种通过特殊仪器来观察女性生殖道内部情况的医疗检查方法它能够检测出以下几种常见的疾病和问题1 阴道炎症 通过阴道镜检查,医生可以观察到阴道壁的情况,包括是否...
朋友吃酚酞片瘦了10斤
病情分析你好,酚酞片属于刺激性泻药,可抑制肠道对事物的吸收,加快肠道蠕动,不宜常服药物过量或长期滥用时可造成电解质紊乱,诱发心律失常神志不清肌痉挛以及倦怠无力血糖升高血钾降低引起对药物的依赖性等症状。 吃酚酞5天瘦了...
6一8岁脑筋急转弯题目
随着智力开发逐渐成为儿童教育的重要组成部分,6到8岁孩子的脑筋急转弯题目成为了家长和教师常用的教育工具。这类题目不仅可以提高孩子的思维灵活性,还能培养他们的创新能力和解决问题的技巧。本文将介绍一些典型的6到8岁脑筋急...
东航大飞机座位分布图mu2855
东航大飞机座位分布图mu2855是东航公司推出的一款高效便捷的座位布局图,它为乘客提供了多样化的选择,提升了飞行体验。本文将详细介绍东航大飞机座位分布图mu2855,从座位类型、舒适度、航班配置以及乘客反馈四个方面对...


京公网安备11000000000001号
京ICP备11000001号