手指上起小水泡怎么办
手指背上起颗粒状小水泡但不痒,可能由湿疹手癣或汗疱疹引起,需根据病因针对性处理具体应对措施如下湿疹的治疗湿疹是过敏反应引发的皮肤炎症,急性期可能因渗出形成小水疱治疗以外用糖皮质激素为主,如地奈德乳膏糠酸莫米松乳膏,直...
汗疱湿疹用什么药最快
汗疱湿疹也叫做汗疱疹,主要是因为皮肤下面的汗液无法正常排泄到体外,从而在皮下瘀积形成的疾病这种情况选择使用药物,可以用口服药配合外用药物口服抗组胺类的枸地氯雷他定片,或者是盐酸氮卓斯丁可以有效的缓解瘙痒症状,加速局部...
女性,尿频是因为什么
女性突然尿频可能由多种原因引起,具体如下一生理性因素1饮水过多短时间内大量饮水或饮用含咖啡因酒精的饮料,会通过增加尿量导致尿频,通常无其他伴随症状2怀孕孕期子宫增大压迫膀胱,尤其是孕早期和孕晚期,可能引发尿频,属正常...
右下腹时不时疼一下,按压不疼
女性肚子右下方疼可能由多种原因引起,具体如下1 阑尾炎阑尾位于右下腹,其炎症是右下腹疼痛的常见原因典型症状包括转移性右下腹痛初期可能为上腹或脐周痛,后转移至右下腹恶心呕吐发热等若未及时治疗,可能发展为阑尾穿孔,引发腹...
类风湿因子高的危害有哪些
1、类风湿因子高的危害主要体现在以下几个方面1关节损害类风湿因子可激活补体系统,引发炎症反应,导致关节滑膜增生炎症及破坏典型表现为关节疼痛肿胀僵硬及活动受限,长期未控制可能进展为慢性关节炎,严重影响生活质量2多系统受...
全身痒是什么原因,,
浑身皮肤瘙痒可能由以下原因导致,需结合具体症状和诱因综合判断1 过敏反应过敏是皮肤瘙痒的常见原因,过敏原种类多样,包括环境因素如冷风刺激花粉尘螨或动物毛发接触性物质部分浴液化妆品洗涤剂中的化学成分可能引发接触性皮炎食...
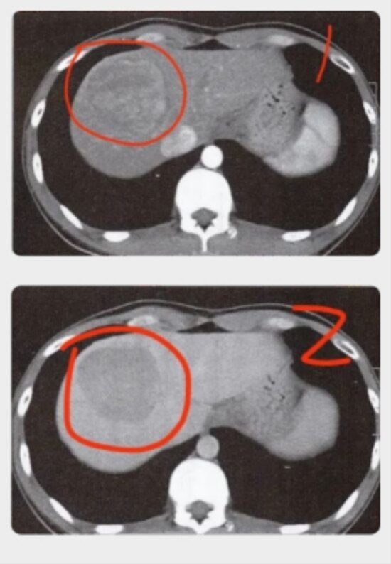
肝血管瘤会转化成肝癌吗?
确诊的肝血管瘤患者通常建议每半年复查一次即可,观察血管瘤的增长速度,如果血管瘤每年增长不超过1cm,通常认为在正常范围内对于快速增长的肝血管瘤或体积较大的肝血管瘤,可以采取外科手术治疗但需要警惕有可能将肝脏恶性肿瘤误...










京公网安备11000000000001号
京ICP备11000001号