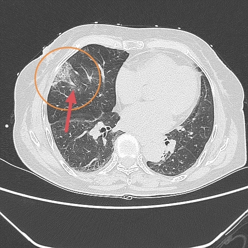
肺部有阴影是什么病症?
肺部疾病常常会在CT影像中显示出阴影,最常见的是肺部感染性疾病,如肺炎,包括大叶性和小叶性肺炎,还有结核病灶当然,肺癌也有可能导致肺部阴影的出现若影像学检查无法明确诊断,医生可能会建议进行进一步的检查,如肺部纤维支气...
疱疹性咽炎如何治疗(疱疹性咽炎怎么治疗和护理)
用户:张奶奶您好,我家男宝一岁三个月,昨天一直高烧,去诊所医生说是疱疹性咽峡炎,开了退烧药,清开灵,蒲地蓝,利巴韦林喷雾,药都是灌给宝宝喝的,今天水也不喝,饭也不吃,奶粉哄着能喝点,精神状况不太好,一直哼哼唧唧,睡觉...
如何查出宫外孕(除了B超)
很多女性备孕,最担心的就是受精卵着床着错了地方,也就是出现了宫外孕。受精卵没有在女性子宫内着床,而是在子宫外“生根”了。宫外孕是很危险的,需要手术治疗的。现在,诊断宫外孕的通常手段是到医院照B超,有些人怕麻烦,或者觉...

京公网安备11000000000001号
京ICP备11000001号