中耳炎的治疗方法都有什么
中耳炎的治疗需根据具体类型选择方案,主要分为分泌性中耳炎和化脓性中耳炎两类,具体如下一分泌性中耳炎的治疗1一般治疗以休息和保持鼻腔通畅为核心,避免用力擤鼻或剧烈运动,防止鼻涕经咽鼓管逆行进入中耳2病因治疗针对原发疾病...
17岁还可以长高吗?
117岁身高还能长几厘米 这个没有标准的数据17岁了还能不能长高要看具体情况大部分都能长高,但长高的速度较慢,长的程度也比较低身高与遗传因素营养状况健康状况自我生长发育等因素有关每天应摄入足够的热量和各种营养素加强体...
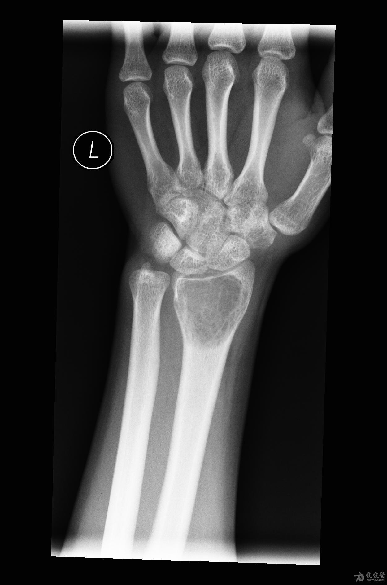
骨巨细胞瘤的X线表现
1 X线检查表现 溶骨性破坏病变多显示中央或偏心性溶骨性破坏,并侵及干骺端,可完全破坏软骨下骨质 边界清晰一般情况下,病变边界较清楚,呈膨胀性改变 分叶状或皂泡样改变其内可见纤细骨嵴,形成分叶状或皂泡样外观 软组织肿...
前列腺癌的症状有哪些?
1、晚期前列腺癌的症状主要有以下方面排尿相关症状前列腺癌可能压迫尿道,引发排尿困难,具体表现为尿流变细排尿费力同时伴随尿频尿急,即排尿次数增多且紧迫感增强部分患者还会出现尿痛,排尿时尿道有灼烧或刺痛感血尿表现肿瘤侵犯...
三个月没来月经也没怀孕怎么回事
1、三个月没来月经且未怀孕,可能由以下原因导致1 过度节食或体重急剧变化过度节食会导致身体摄入营养不足,影响下丘脑垂体卵巢轴的正常功能,干扰激素分泌,进而引发月经紊乱甚至闭经体重短期内急剧增加或减少同样会破坏激素平衡...










京公网安备11000000000001号
京ICP备11000001号