滑膜炎颗粒效果怎么样?
滑膜炎颗粒属于骨科用中成药,具有清热利湿活血通络的作用,可用于治疗急慢性滑膜炎及膝关节术后患者此药是由夏枯草女贞子功劳叶黄芪防己薏米土茯苓丝瓜络泽兰丹参当归川牛膝豨莶草组成的纯中药制剂,药性偏于寒凉,故寒湿痹阻脾胃虚...
膝盖韧带拉伤怎么恢复快
3 抬高 将损伤部位抬高,有助于减少局部肿胀 抬高应确保损伤部位的水平高度高于心脏,以促进血液静脉回流 正确的抬高方法是在膝盖下方垫一个枕头,确保膝盖高于心脏水平综上所述,要想膝盖韧带拉伤快速恢复,需要在受伤时及时做...
血糖多高需要打胰岛素
1、血糖多高要打胰岛素不能单纯依靠血糖值判断,需综合多方面因素决定1型糖尿病患者因自身胰岛β细胞功能衰竭导致胰岛素绝对缺乏,一经诊断通常需立即启动胰岛素治疗,与血糖具体数值关系不大若不使用胰岛素,易发生糖尿病酮症酸中...
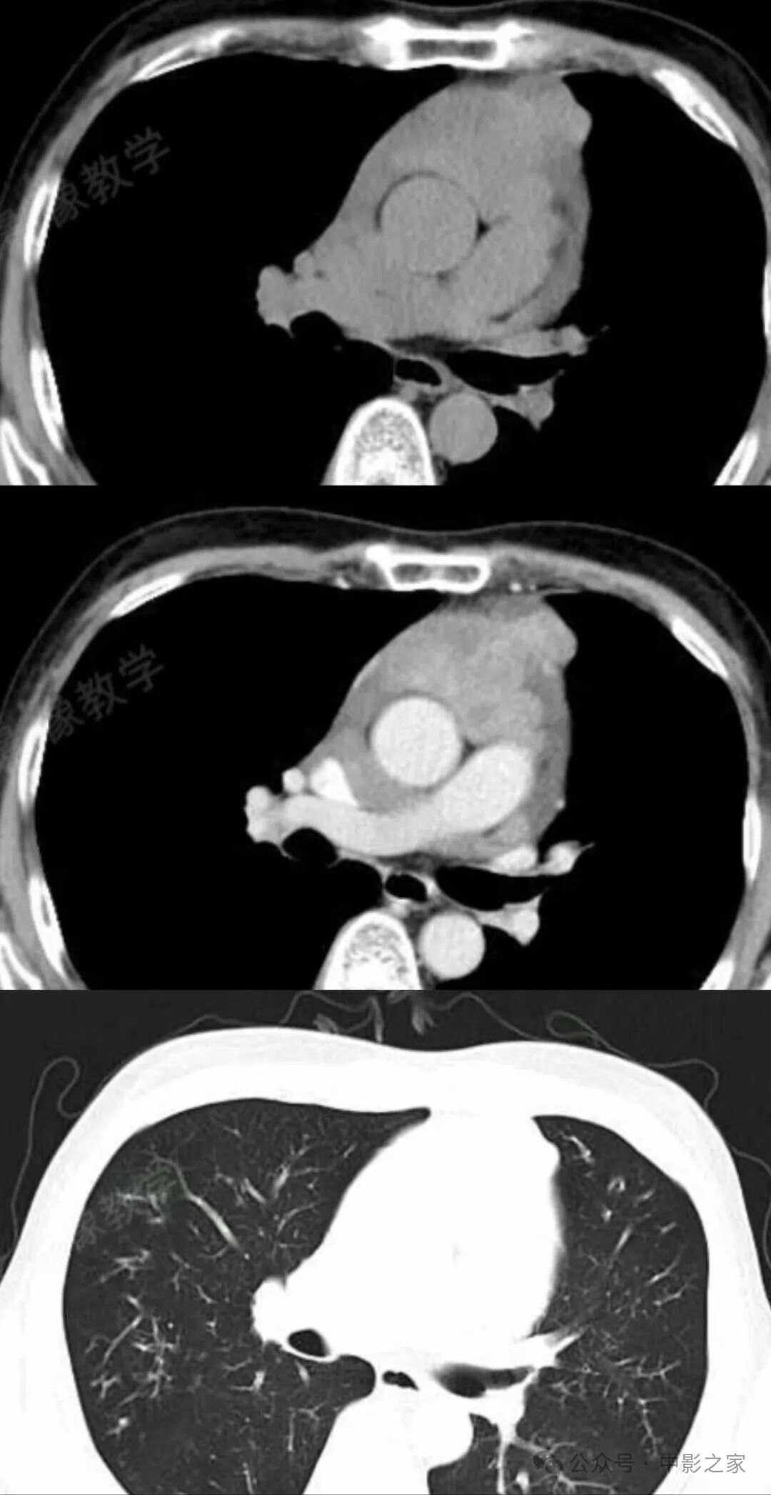
petct与增强ct的区别
CT检查和PETCT检查确实存在显著区别,主要包括以下几点显像类型CT是解剖学显像,主要显示人体组织的解剖结构PETCT是以功能显像为主,结合解剖显像,能够显示人体组织的代谢和功能状态检查原理CT通过机器发出射线,穿...
为什么手指上肉刺特别多
肉刺和鸡眼并不相同肉刺是皮肤受到压力或摩擦后形成的凸起,通常出现在手指或手掌部位它们由皮肤增生形成,通常较小,质地较软,颜色较淡,中心可能有黑点,这是由于血管破裂所致肉刺的形成往往与长时间使用指尖进行精细操作有关,如...
最近总是头晕是怎么回事
近期总头晕可能与以下因素有关1睡眠与压力因素长期休息睡眠不足会直接影响大脑的供血与代谢功能,导致脑细胞缺氧,引发头晕此外,工作学习压力过大或情绪持续紧张时,人体会分泌过量应激激素如皮质醇肾上腺素,引发血管收缩或血压波...
舌苔厚腻的原因有哪些
舌苔太厚主要由以下原因引起1口腔卫生不良若未养成规律清洁口腔的习惯,食物残渣脱落细胞及细菌会在舌面堆积,形成厚腻的舌苔例如,进食后未及时漱口或刷牙,残留物在舌背滋生,导致微生物过度繁殖长期忽视口腔清洁还会引发牙菌斑堆...
坐骨神经痛一般多久才好
1、2 慢性或复杂病例的恢复周期若病因复杂如严重腰椎间盘突出神经根受压或未及时干预,恢复时间可能延长至数周至数月例如,腰椎间盘突出压迫神经根的患者,若保守治疗无效,可能需通过微创手术如椎间孔镜解除压迫,术后恢复通常需...










京公网安备11000000000001号
京ICP备11000001号