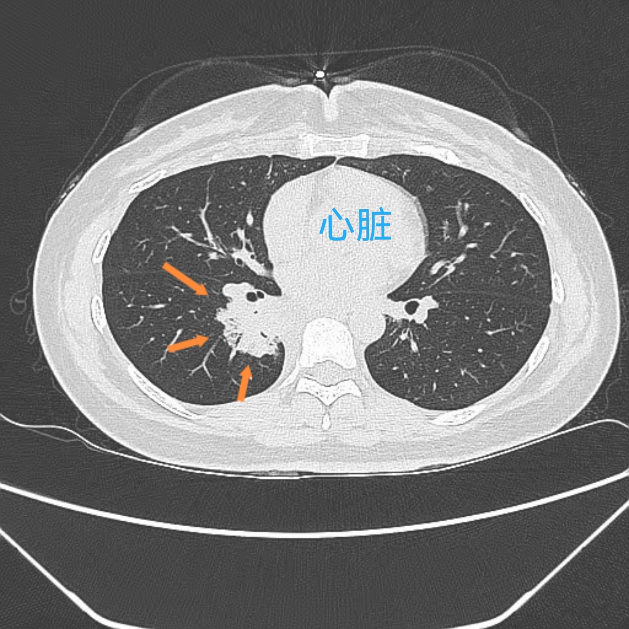
深呼吸胸口痛不一定为肺癌胸膜炎胸腔积液肺炎支气管炎症带状疱疹心绞痛反流性食管炎均可能导致深呼吸时胸口疼痛肺癌可以表现出深呼吸时胸口疼痛,但不能仅凭症状即可诊断肺癌肺癌属于恶性疾病,早期没有症状随着疾病发展,可能出现胸闷胸痛咳嗽咳痰咳血等症状同时可以逐渐加重;吸气时左胸口疼可能由多种原因引起,具体如下胸膜炎或胸膜疾病胸膜是覆盖在肺表面和胸腔内壁的薄膜,当发生炎症如感染自身免疫性疾病等时,吸气时胸膜摩擦加剧,可能引发左胸口疼痛,疼痛常随呼吸动作加重肺部疾病肺炎肺栓塞肺癌等病变可能累及左肺,导致吸气时疼痛例如,肺炎引发的胸膜;2胸膜炎患者会出现深呼吸的时候伴有胸痛,同时还会伴有发热咳嗽咯痰气急等3肺部感染如果波及胸膜,也会出现深呼吸的时候左侧胸口疼痛,常伴有咳嗽咯痰发热甚至伴有呼吸困难等4如果是肺癌的患者,也会出现深呼吸的时候伴有左侧胸口疼痛症状,还会伴有消瘦午后低热咳嗽咯血等5肺;2 胸膜炎胸膜炎症常由感染自身免疫性疾病或肺部疾病如肺炎引发吸气时,炎症刺激胸膜导致疼痛,可能伴随咳嗽呼吸困难等症状治疗需根据病因使用抗生素针对感染消炎药或止痛药,具体方案需医生判断3 肺部疾病肺炎肺栓塞肺癌等疾病可能引起吸气时胸口疼,常伴有发热咳嗽咳痰或呼吸;若支气管镜检查发现支气管内存在异常肿物,且通过夹取组织进行病理学检查明确存在癌细胞,则可确诊为肺癌此时,吸气时胸口疼痛及肺结节均为肺癌的直接表现肺癌导致的胸口疼痛通常与肿瘤侵犯胸膜肋骨或神经有关,而肺结节则是肿瘤在肺部的局部表现若支气管镜检查未发现异常肿物,则吸气时胸口疼痛及肺。
肺肿瘤肺肿瘤,尤其是恶性肿瘤,也可能导致胸口疼痛肺癌患者还可能伴有咳嗽咳痰咯血体重下降等症状如果胸片或肺CT出现肿块影,并经过进一步检查确诊为肺恶性肿瘤,应根据病情考虑手术治疗放疗化疗等综上所述,当患者出现左胸口深呼吸隐隐作痛时,应及时就医,完善相关检查,以明确诊断并;深呼吸胸口疼不一定是肺癌,也有可能是其他的肺部疾病,比如胸膜炎胸腔积液肺和支气管炎症等等其他的心绞痛或者反流性食管炎,也有可能造成深呼吸胸口疼,不能凭这个症状诊断肺癌如果是肺癌,也有可能有这个症状,肺癌属于呼吸系统的一种恶性肿瘤,肺癌可能早期没有明显症状,但是随着病情发展会表现;深呼吸胸口疼不一定是肺癌胸壁疾病是常见原因之一,例如肋软骨炎肋间神经炎或胸膜炎这类疾病会因胸部肌肉骨骼或神经受刺激而引发疼痛,尤其在深呼吸咳嗽或体位改变时加重肺部疾病中,肺炎肺结核及肺癌均可能引起胸口疼痛肺炎和肺结核通过感染导致肺部炎症,刺激周围组织肺癌则可能因肿瘤压;3心脏疾病虽然深呼吸时胸痛不一定源于心脏,但心肌梗死心肌缺血坏死或心绞痛冠状动脉狭窄导致心肌供血不足可能表现为胸痛,且可能因呼吸动作加重心肌梗死疼痛通常剧烈,伴压迫感心绞痛多在劳累或情绪激动时发作,休息后缓解4肋骨或胸部损伤肋骨骨折胸骨骨折或胸部挫伤会直接损伤骨或软组织。
深呼吸胸口疼不一定是肺癌,但肺癌可能引发此症状,其他多种疾病也可能导致类似表现肺癌相关表现肺癌患者可能因肿瘤侵犯胸膜肋骨或神经,在深呼吸或咳嗽时出现胸口疼痛,疼痛常呈持续性或进行性加重此外,肺癌还可能伴随咳嗽咳痰咯血呼吸困难体重下降等症状若怀疑肺癌,需通过胸部影像学检查。
就医建议如果深呼吸时胸口疼痛症状很重,建议及时到医院完善相关检查,如胸片CT等,以明确诊断不要仅凭胸口疼痛就简单地诊断为肺癌,以免误诊或延误治疗综上所述,深呼吸胸口疼痛可能由多种原因引起,不能简单地将其诊断为肺癌如有相关症状,应及时就医并进行详细检查;深呼吸胸口疼不一定是肺癌深呼吸时胸口疼痛可能由多种原因引起,包括但不限于胸膜炎胸膜炎症可能导致深呼吸时胸口疼痛胸腔积液胸腔积液也可能引起深呼吸时的胸痛肺炎和支气管炎症这些炎症性疾病同样可能导致深呼吸时的胸部不适带状疱疹带状疱疹病毒感染有时也会在深呼吸时引发胸痛心;深吸气胸口中间出现疼痛,这个症状癌症的可能性不大,不用过分担心肺癌的主要症状是胸痛胸闷气促咳嗽咳痰咳血,咳血是肺癌的非常典型的症状,建议患者一定要尽快的到医院检查,通过影像学检查穿刺活检病理诊断来确诊早发现早诊断早治疗是治愈肺癌和延长寿命的关键一般情况下,早期的癌症;深呼吸胸口两边疼并不一定意味着患有肺癌,肺癌只是可能的原因之一常见病因包括1肺部疾病肺炎胸膜炎气胸等感染或炎症性疾病,可能因呼吸时胸膜摩擦或肺部压力变化引发疼痛2骨骼与软组织问题肋骨骨折肋软骨炎胸骨损伤或肌肉拉伤肋间神经炎等,均可能导致深呼吸时局部疼痛3心脏疾病。
转载请注明来自极限财经,本文标题:《呼吸胸口会疼是肺癌吗?》

京公网安备11000000000001号
京ICP备11000001号
还没有评论,来说两句吧...