贫血等肠癌的确诊需要通过肠镜取病理检查黑斑的处理建议对于下嘴唇的黑斑,建议咨询专业医生进行诊断如果是良性的体表肿物,可以考虑手术切除并进行术后病理确诊如果是恶性黑色素瘤,则需要根据具体情况制定治疗方案综上所述,下嘴唇长黑斑与肠癌没有直接关系,如有疑虑请及时就医进行专业诊断。
嘴唇上出现黑斑,可能是以下几种情况劣质口红或唇膏的使用长期使用含有大量激素或其他有害成分的劣质口红或唇膏,可能导致嘴唇上出现黑色素颗粒的沉积,从而形成黑斑口周唇炎治疗后遗留的色素沉着患有口周唇炎的患者,在经过治疗后,可能会在嘴唇上遗留色素沉着,表现为黑斑长期吸吮水瓶子导致主。
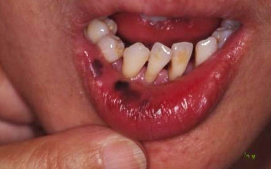
嘴唇上有黑斑可能是由以下两种情况引起的黑色素沉着肠道黏膜综合征症状表现除了嘴唇上有黑斑外,还可能伴有腹部规律性或阵发性疼痛在检查时,通常会发现肠系膜上有息肉治疗情况一旦息肉被去除,黑斑可以逐渐消失黏膜黑斑症状表现黑斑通常不高出皮肤,不疼不痒,直径一般在5毫米左右这种黑斑对身体通常没有影响,不需要特。
避免不良习惯吸烟和过度饮酒都会对皮肤健康产生负面影响,导致皮肤老化和色素沉着因此,戒烟和限制饮酒是改善唇周黑色素沉淀的重要措施之一总之,改善唇周黑色素沉淀需要时间和耐心,通过综合运用上述方法,可以逐步减少黑色素的积累,恢复健康的肤色同时,每个人的皮肤状况不同,因此在选择治疗方法时应。
上嘴唇长黑斑不一定是肠癌,可能与多种因素相关大肠癌可能引发上嘴唇黑斑大肠癌属于肠道恶性肿瘤,其典型症状为排便习惯改变如便秘与腹泻交替腹部持续性疼痛腹部肿块或便血等部分患者因肿瘤影响肠道功能,导致体内毒素代谢异常,可能引发色素沉积,表现为上嘴唇或面部其他部位的黑斑但需注意。
你有两种方法可以选1,通过美容院的机器给你去掉,或者用功效型产品去掉后果是去掉还会长很伤害皮肤,让你的角质变薄,让皮肤的不到保护2到专业的美容院找美容师给你分析,你嘴唇长黑斑,说明你那里瘀滞不通,嘴唇哪里有胃经和大肠经走过还有,唇那块也是妇科 内分泌 的一个反射区总之。
若嘴唇上出现的黑色斑点较少,仅一两个,则可能是色素痣需注意观察是否伴随疼痛或瘙痒等不适感,必要时可进行液氮冷冻或切除手术以防止恶性病变色素沉着息肉综合征若嘴唇上黑点较多,可能是色素沉着息肉综合征所致该病以口唇部位色素沉着斑和肠道内多发性息肉为主要特征,需要及时接受手术治疗。
转载请注明来自极限财经,本文标题:《嘴唇上长了黑斑,怎么治疗》





京公网安备11000000000001号
京ICP备11000001号
还没有评论,来说两句吧...