1、随着肺功能的逐渐下降,也会出现肺结核,肺部感染这类并发症,往往以后都不太好虽然早期控制可以让矽肺病不再进展,但是目前还没有有效的治疗手段在一些报道中,患者也可以通过肺移植改善自己的肺部症状,但是,不通过手术是无法治疗的四慢性阻塞性肺疾病很多人看到这个疾病的名字,其实还是很陌生的,但是提到他的;病情分析你好通过你叙述的情况,这个不好说能活多久,只有通过消炎治疗和止咳平喘吸氧治疗,可以延长生命指导意见建议到当地的职业病防治医院进行住院治疗医生开的药有胃肠道反应,可以在饭后吃 查看原帖 麻烦采纳,谢谢;矽肺的治疗方法主要包括以下几点脱离职业环境一旦确诊为矽肺,首要的治疗措施是及时脱离导致矽肺的职业环境,避免继续接触粉尘一般治疗合理休息保证充足的休息,有助于身体恢复加强营养均衡饮食,增强身体抵抗力加强肺功能锻炼通过适当的锻炼,如深呼吸扩胸运动等,增强肺功能预防感冒;可促进矽肺发展,诱发呼吸衰竭和死亡因此,应积极预防和治疗呼吸道感染,尤其对晚期矽肺具有重要意义西肺康复汤是一种治疗矽肺的纯中药,效果显著,疗效快最主要的是没有毒副作用,不损害身体的机能可以选择尝试一下,一个健康的 身体是生活的最重要的保证好好爱护身体吧。
2、矽肺所出现的环境是属于高粉尘环境,这种粉尘环境,要么远离,要么就需要做好专业的呼吸防护工作,对自己的呼吸系统进行彻底的保护现在防护口罩必须执行GB26262006标准根据国标,防尘口罩学名称为自吸过滤式防颗粒物呼吸器根据防护对象不同,分为防油性颗粒物油烟油雾和非油性颗粒物和非油性颗粒;矽肺病没有固定的最佳治疗方法,因其病情轻重不同,需根据具体情况制定不同的治疗方案以下是针对矽肺病不同症状的一些主要治疗方法和措施吸氧治疗对于缺氧的矽肺患者,可能会进行吸氧治疗以缓解缺氧症状镇咳治疗若患者咳嗽干咳症状剧烈,可采用镇咳药物进行对症治疗抗感染与排痰存在感染的患者;矽肺病是一种因呼吸时大量含游离二氧化硅的粉尘进入肺部而引发的职业病这种病症常见于空气中硅尘浓度较高的工作环境中,如采矿和凿岩等工种在发病初期,患者会感受到胸闷和气短,部分病人会有干咳的症状,并逐渐出现肺功能衰竭随着病情的发展,后期患者会面临呼吸困难极易气喘全身无力等问题,且;尽管少数例外情况存在您可以通过访问中国尘肺医疗网,了解更多关于尘肺病矽肺病的知识,以更好地照顾自己保持积极乐观的心态对于患者而言至关重要尘肺病虽然是一种长期疾病,但通过适当的治疗和保养,患者仍能享受良好的生活质量希望患者能够积极面对疾病,保持健康快乐的生活;矽肺病被誉为是临床上最为常见也是最为严重的职业病之一,多好发于重工业工作者或者经常吸入粉尘类物质的人群,例如煤矿工人,教师等等其中矽肺病是尘肺病中最常见的,早期矽肺病没有明显的症状,但是矽肺病早期确实治疗的最佳时机矽肺病症状 武警河南总队医院专家介绍早期矽肺往往没有明显自觉症状;矽肺早期是可以治疗的,具体治疗方法和注意事项如下早期治疗的重要性矽肺病早期发现及时治疗,能有效把握最佳治疗时机,显著提升治疗效果,降低病情进展风险治疗方案药物治疗使用药物控制炎症,促进肺部功能恢复呼吸康复训练通过呼吸训练,增强呼吸肌功能,提高肺活量辅助治疗如氧疗物理治疗等。
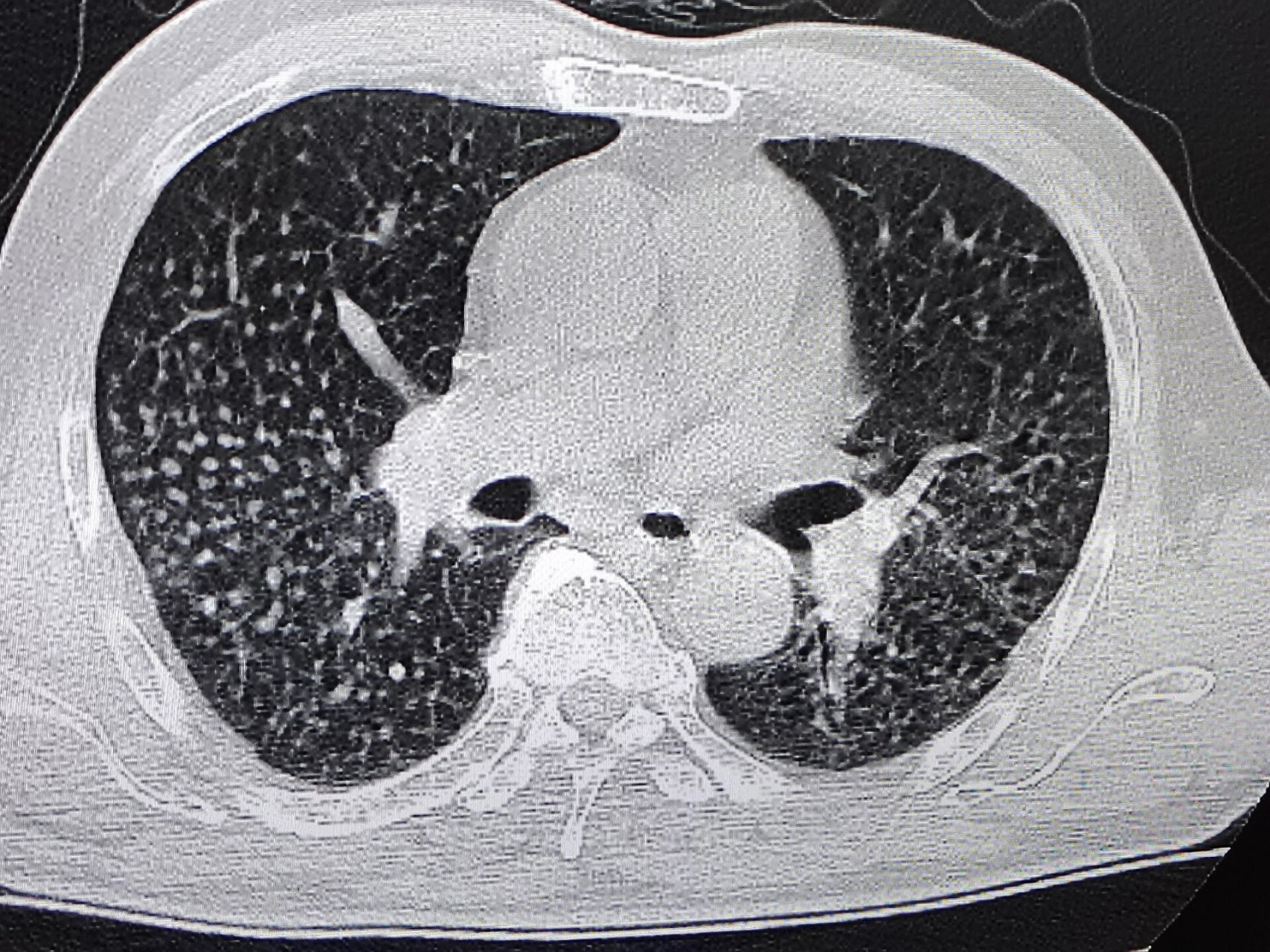
3、矽肺,又称硅肺,是尘肺病中最常见的一种类型该病由长期吸入大量游离二氧化硅粉尘导致,主要特征是肺部广泛的结节性纤维化矽肺在尘肺病中不仅常见,而且是进展最快危害最严重的一种类型洗肺,全称大容量全肺灌洗术,是一种高风险的手术,并非保健手段这种手术对医院的要求极高,因此选择医院至;矽肺病属于尘肺病中较严重的一种,根据肺功能损伤程度分为一 二 三期的,及时发现患病应该尽早脱离粉尘岗位,积极调理治疗是可以控制病情发展的;矽肺是由于在工作过程中大量接触细微的粉尘,进入人体呼吸道后沉积于支气管肺泡内,导致肺组织纤维化所形成的职业病尘肺本身并不会直接导致死亡,有些病人甚至没有明显的自觉症状,但如果合并有肺结核肺炎真菌肺炎慢性阻塞性肺疾病肺心病气胸等并发症时,就有可能导致呼吸衰竭死亡意见建议目前也没有特效抗;通过对肺泡反复灌洗,可以将长期吸入体内的二氧化硅等粉尘灌洗出,从而减轻病情这种方法在一定程度上能够改善患者的症状和生活质量需要注意的是,矽肺病属于职业病,治疗困难,且目前尚无根治方法因此,预防矽肺病的发生至关重要,对于从事相关职业的人群,应做好个人防护,减少粉尘的吸入;矽肺病的治疗需结合脱离污染源控制并发症及增强机体抵抗力,具体方法如下1 脱离粉尘暴露环境确诊矽肺后,首要措施是立即脱离含游离二氧化硅的粉尘作业环境,避免病情进一步加重患者需转移至空气清新无职业暴露风险的场所,减少肺部纤维化的进展风险2 抗感染治疗矽肺患者因肺组织结构破坏,易合并;再生医学的兴起,让人们看到矽肺治疗的曙光以干细胞移植技术为代表的再生医学技术,通过运用干细胞再生人体多种体细胞的生物学特性,来治疗各种临床难治性疾病干细胞是一类尚未分化未发育好能生成各种器官组织的全能细胞,是具有自我更新高度增殖和多向分化潜能的细胞群,即这些细胞可以通过细胞分裂。
4、矽肺是一种由于长期吸入含游离二氧化硅的粉尘而引发的肺部疾病,其特征是肺纤维化目前,医学研究显示尘肺病无法通过饮食或其他保健品治愈例如,木耳和银耳等食品声称具有清肺作用,但它们实际上只能润肺,并不能清除肺部的粉尘治疗矽肺的一种方法是洗肺,但这只能去除肺部的表面粉尘,无法清除深入小肺泡的粉尘。

京公网安备11000000000001号
京ICP备11000001号
还没有评论,来说两句吧...