1便血无痛性便血是直肠息肉早期最典型的症状之一由于息肉表面黏膜脆弱,排便时可能因摩擦或挤压导致出血出血量通常较少,表现为大便表面附着鲜红色血液,或便后滴血,但一般不会引发大量出血导致低血容量性休克若息肉体积较大如超过2cm或位置较低靠近肛管,排便时可能因机械性刺激导致出血量。
1大便形状改变直肠息肉可能使肠道局部变窄,导致大便排出时受压变形,表现为大便扁平一段一段,无法连贯排出这一症状与肠道正常形态差异明显,需引起注意2黑便或便血息肉早期可能因排便时挤压导致表面微小血管破裂,引发少量出血血液在肠道内停留时间较长时,会氧化为黑色,形成黑便若出血。
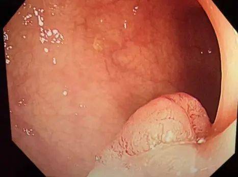
直肠息肉的典型症状1便血血液通常为鲜红色,量较少,可能仅附着于大便表面,与息肉表面摩擦出血相关2息肉脱出较大息肉尤其是带蒂型可能在排便时脱出肛门外,需手动回纳或自行缩回3肛门坠胀感因息肉刺激直肠末端神经,产生排便不尽或下坠感,但程度通常较轻4腹痛多为间歇性。
随着息肉增大可能出现的后续症状1便血当息肉表面破损或受到摩擦时,可能引发鲜红色血液附着于粪便表面,或导致大便隐血试验阳性需通过实验室检测确认2里急后重感较大的息肉可能刺激直肠黏膜,引发排便不尽感,即患者常感到肛门坠胀有便意但排便量较少3脱出风险若息肉位于直肠下段。
直肠息肉的早期症状主要包括以下几点大便习惯改变由于息肉对肠道的轻微刺激,患者可能会出现大便次数增多的情况,同时每次排便时可能伴随有里急后重的感觉腹胀直肠息肉的存在会影响到直肠的功能,导致肠道中存在一定量的气体,从而使患者出现腹胀感无症状值得注意的是,由于直肠息肉在早期时体积较。
直肠息肉的早期症状往往不易察觉,部分患者甚至无任何临床表现但随着病情发展,可能出现的早期症状包括大便中带有血迹通常为无痛性便中带血,出血量较少,血液颜色鲜红或暗红色,可在大便表面或纸上发现大便习惯的改变如大便次数增多或大便形状改变,这些变化可能较为轻微,不易引起患者注意肛门。
直肠息肉的症状主要与病情严重程度相关,具体表现如下1直肠刺激征患者可能出现大便排不尽感和便意频繁,这是由于息肉刺激直肠黏膜,引发局部神经敏感所致此类症状在息肉较小或数量较少时较为常见,但易被误认为普通肠炎或痔疮,需结合其他表现综合判断2肠梗阻相关症状随着息肉体积增大,可能阻塞肠腔。
症状 便血直肠息肉患者可能会出现便血的症状 肛门脱出特别是有蒂的息肉,在排便时可能会突出肛门 肛门不适突出的息肉可引起肛门反复刺激,导致肛门皮肤瘙痒不适危害 贫血长时间出血可能会导致贫血 癌变直肠息肉最严重的后果是癌变,即可能演变为直肠癌因此,有直肠息肉的患者应及早。
出血症状直肠息肉会刺激肠黏膜导致出血,患者可能出现黏液便血便,严重者甚至可能出现大出血肠道刺激症直肠息肉会导致腹部不适腹痛等表现,也会出现里急后重的症状,即患者总是有想排便的感觉肠梗阻对于低位且体积较大的息肉,或者多发性息肉,有可能造成肠梗阻,影响患者的正常排便癌变风险直肠息肉中,98%为腺瘤性息肉。
转载请注明来自极限财经,本文标题:《直肠息肉有什么症状》

京公网安备11000000000001号
京ICP备11000001号
还没有评论,来说两句吧...