纵隔是指左右纵隔胸膜之间的区域,它不仅是一个解剖学名词,也是医学领域中一个重要的概念这个区域位于胸腔的正中,其前界是胸骨,后界则是脊柱,两侧则是纵隔胸膜纵隔的范围广泛,内部包含着众多重要的器官和结构,如心脏大血管气管食管神经淋巴结等由于纵隔内部组织器官众多,因此,在这;在某些情况下,纵隔增宽可能是由于生长发育过程中的正常变化所致特别是在青少年时期,由于骨骼和器官的快速生长,有时可能会出现短暂的生理性增宽这种情况一般不需要特殊治疗,只需定期观察二病理性原因 纵隔增宽也可能是某些疾病的表现例如,纵隔肿瘤是最常见的原因之一当纵隔内出现肿瘤时。
肝纵隔通常指的是位于人体中央肝脏上方的一块区域在解剖学上,它由食管主动脉下腔静脉心包和胸膜等器官组成如此复杂的生理结构意味着它在疾病诊治中具有一定的难度,因为在查找病因时需要充分了解其解剖生理病理基础肝纵隔疾病种类多样,比如纵隔肿瘤食管静脉曲张主动脉瘤胸膜炎等等;2 纵隔的功能 纵隔内的器官和组织在维持人体正常生理功能中发挥着重要作用例如,心脏负责血液循环,大血管负责血液的输送,食管和气管分别负责食物的输送和气体的交换此外,纵隔内的淋巴组织还参与免疫系统的功能3 纵隔的病理情况 在某些情况下,纵隔可能出现病变,如纵隔肿瘤纵隔炎症等这些病变。
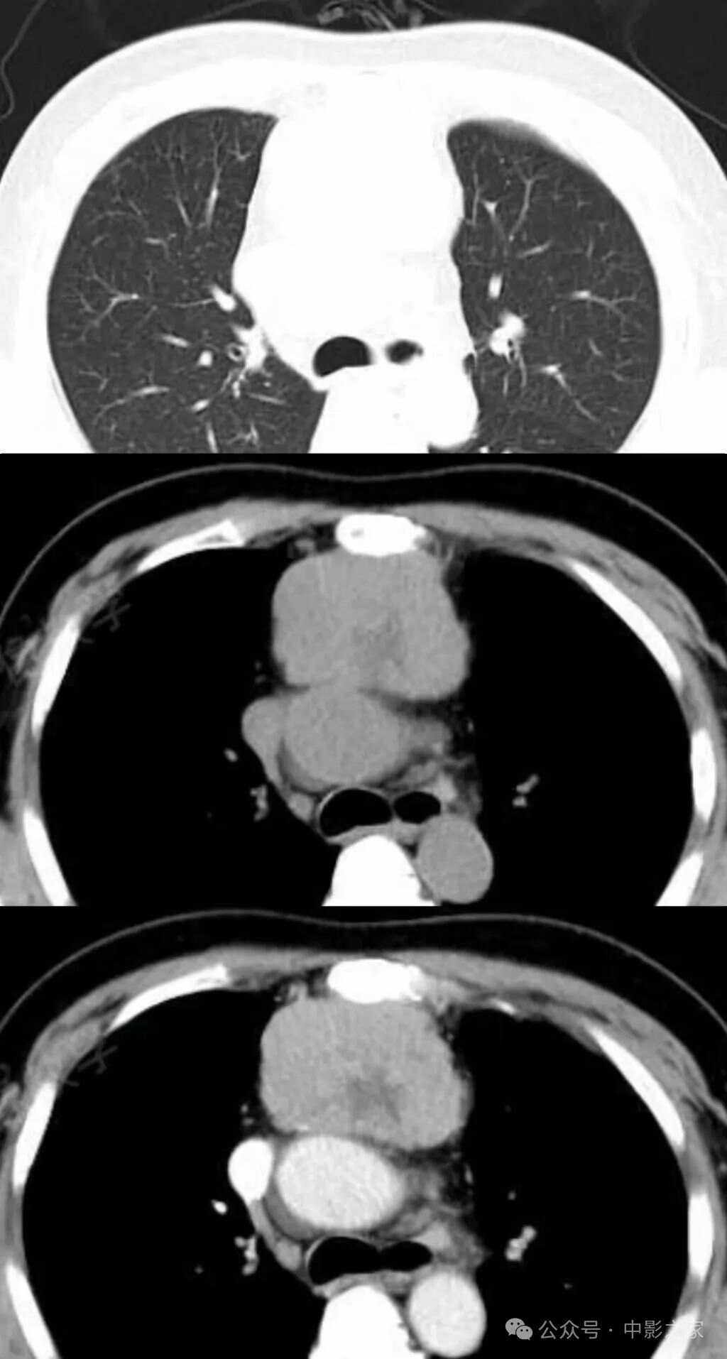
前纵隔占位是一个影像学诊断,通常提示在前纵隔位置存在占位性病变,大部分是纵隔肿瘤的可能性以下是关于前纵隔占位的详细解释定义前纵隔占位是指在CT或胸片检查中,发现前纵隔位置存在异常结构或肿块,占据了原本应有的空间常见病变胸腺瘤是前纵隔最常见的肿瘤之一,多为良性,但也有恶性可能;纵隔肿瘤密度是指肿瘤在影像学上显示的密度,是通过CT扫描或MRI等影像学技术测定得到的以下是关于纵隔肿瘤密度的详细解释密度类型纵隔肿瘤的密度分为高密度中等密度和低密度等多种类型这些密度的分类与肿瘤的组织成分血供情况和坏死率等因素有关密度意义高密度通常意味着肿瘤细胞的组织密度;纵隔上抬是指胸腔内的纵隔组织受到压迫而上升的现象患有心血管疾病肺部疾病或纵隔肿瘤的患者可能会出现纵隔上抬的症状通常情况下,这种症状会引起呼吸困难和胸痛等不适感,给患者带来严重的身体和心理负担因此,及早发现并治疗纵隔上抬的症状,对保障患者身体健康和生命安全具有重要作用纵隔上抬的。
纵隔的功能 纵隔内的组织和器官协同工作,维持人体的正常生理功能例如,心脏负责泵血,大血管负责血液的传输,食管负责食物的传输等此外,纵隔内的淋巴组织和神经组织也起着非常重要的作用,它们参与人体的免疫和神经系统功能纵隔的疾病 纵隔区域也可能发生一些疾病,如纵隔肿瘤纵隔感染等这些疾病。
纵隔肿物是指在纵隔范围内生长出来的新生物,可以出现在前纵隔中纵隔或后纵隔这些肿物可以是实性的囊性的,也可以是良性的恶性的或交界恶性的纵隔肿物的类型纵隔肿瘤是一个广泛的疾病系列,包括多种不同细胞类型的恶性肿瘤还包括在发育过程中出现的良性疾病,如支气管囊肿食管囊肿和肠源性囊肿前纵隔肿物可能包括胸腺增生胸腺退化。
转载请注明来自极限财经,本文标题:《纵膈肿瘤是什么意思》

京公网安备11000000000001号
京ICP备11000001号
还没有评论,来说两句吧...