脑部CT能够检查出以下多种情况一颅骨及面部骨骼损伤脑部CT可清晰显示颅骨及邻近面部骨骼的结构,能准确诊断鼻骨骨折眼眶骨折颅底骨折及颅骨骨折等外伤性病变通过断层扫描,可明确骨折部位类型及是否合并颅内损伤,为临床治疗提供关键依据二脑部缺血与出血性疾病 缺血性疾病CT能识别脑梗塞等。
头颅CT主要用于检查以下疾病颅内血肿包括硬膜外血肿硬膜下血肿和脑内血肿等脑外伤评估脑部是否受到损伤,如颅骨骨折脑挫裂伤等脑出血检测脑实质内的出血情况,对于急性脑出血的诊断具有重要意义蛛网膜下腔出血显示蛛网膜下腔内的出血情况,有助于诊断动脉瘤破裂等疾病脑梗死虽然;脑CT能够检查出多种脑部疾病,主要包括以下几类1 脑血管疾病脑CT可清晰显示脑血管的异常变化例如,脑梗塞缺血性卒中表现为局部脑组织低密度影,提示脑组织因缺血坏死脑出血出血性卒中则呈现高密度影,反映血液渗入脑实质或脑室系统此外,脑血管畸形如动静脉畸形和脑血管瘤如动脉;脑寄生虫病检测脑部是否存在寄生虫感染,如脑囊虫病等脑发育畸形观察脑部结构是否存在发育异常,如先天性脑积水无脑畸形等此外,头颅CT还可以清晰的显示不同平面的脑实质脑室和脑池的形态和位置等图像,为医生提供准确的诊断依据随着设备的进步,CT技术不仅限于形态学方面的诊断,还开始用于某些功能性信息方面的研究;头部CT主要用于检查颅脑的相关疾病,具体包括以下几个方面颅内外伤及骨折当头受到外伤时,头部CT可以清晰地显示出颅骨骨折脑出血蛛网膜下腔出血等损伤情况,是诊断头外伤的重要影像学手段颅内肿瘤头部CT能够明确颅内肿瘤的数目部位大小轮廓和密度,同时可以帮助判断肿瘤内是否有出血钙化。
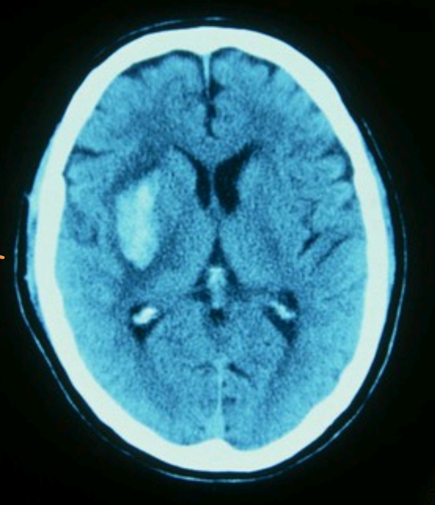
颅脑CT主要用于诊断脑部相关疾病脑出血可清晰显示出血部位范围及血肿形态,辅助判断出血量及病情严重程度脑梗塞通过观察脑组织密度变化,早期发现缺血性病灶,为溶栓治疗提供依据其他系统疾病如颅内肿瘤脑外伤脑积水等,可评估病变位置大小及与周围组织的关系肺部CT是呼吸系统疾病的;脑肿瘤患者CT检查可以发现脑部肿瘤的位置大小和形态,对于肿瘤的诊断和治疗方案制定具有重要意义血管异常患者CT检查能够显示脑部血管的异常,如动脉瘤血管狭窄等,有助于预防和治疗脑血管疾病脑萎缩患者通过CT检查可以观察脑组织的萎缩程度,为评估病情和制定治疗方案提供参考结节性硬化患者CT;脑CT能够检查出多种脑部疾病,主要包括以下几类1 外伤性疾病脑CT是诊断急性颅脑外伤的首选影像学方法可清晰显示脑出血包括硬膜外血肿硬膜下血肿脑内血肿脑挫裂伤颅骨骨折及颅内积气等例如,硬膜外血肿通常表现为双凸镜形高密度影,而脑挫裂伤则表现为局部脑组织低密度区伴点状出血;神经功能缺损症状若患者出现头晕耳鸣呕吐口齿不清肢体无力或感觉异常等神经功能缺损症状,需尽快进行头部CT检查这类症状可能由脑梗塞脑出血或颅内肿瘤等疾病引起,CT可快速鉴别病变性质如缺血性或出血性例如,突发口齿不清可能是脑干梗塞的征兆,CT检查能尽早明确诊断并启动溶栓或取栓;当患者出现以下情况时,需要做脑部CT检查出现神经系统症状肢体活动不利如手脚无力行动不便等语言笨拙说话不清楚表达困难等饮水呛咳在饮水时出现呛咳现象头痛头晕持续或突发的头痛眩晕感怀疑脑血管疾病脑部出血通过CT检查可以迅速判断是否存在脑出血脑部肿瘤CT检查有助于;脑部结构异常如腔隙灶,即微小的脑组织缺血坏死灶,可通过脑部CT检测到还可检测到脑萎缩脑积水等脑部结构异常脑血管畸形如动静脉畸形烟雾病等,这些疾病可能导致脑出血或脑缺血,通过CT检查及相关增强特殊CT检查可明确诊断综上所述,脑部CT检查是一种重要的医学影像检查手段,能够诊断多种;CT能检查出脑血栓,但诊断并非绝对特异CT通过X射线扫描脑部组织,可显示脑血栓的典型影像学特征,主要包括以下几种表现低密度梗死灶脑血栓导致局部脑组织缺血坏死后,CT图像上会呈现与正常脑组织密度不同的低密度区域,这是最常见的直接征象混杂密度梗死灶若梗死灶内发生出血性转化如血性脑。
颅脑CT主要用于检查颅内颅骨头皮的大部分疾病,包括但不限于外伤肿瘤炎症血管性病变中毒变性和代谢性疾病等具体来说显示颅脑解剖关系和脑组织结构颅脑CT能够清楚显示颅脑不同横断面的解剖关系,帮助医生了解脑组织的正常或异常结构观察密度改变高密度病变如脑出血钙化及肿瘤等。
脑CT能查出以下疾病颅内肿瘤包括良性和恶性肿瘤,如胶质瘤脑膜瘤垂体瘤等颅内炎症如脑炎脑膜炎等,可显示脑组织的炎症改变和水肿情况颅内结核可显示结核病灶及其引起的脑组织改变代谢性疾病如脑白质营养不良脑钙化等,可显示脑组织的代谢异常遗传性疾病如神经纤维瘤病结节;CT脑部检查可诊断多种脑部疾病,具体如下1 脑血管疾病CT检查能快速显示脑部血管状况,诊断脑出血脑梗死蛛网膜下腔出血等疾病通过影像可明确血管破裂或堵塞的位置及范围,为急性期治疗提供关键依据例如,脑出血在CT上表现为高密度影,而脑梗死则呈现低密度区域2 脑部肿瘤CT可发现脑部原发;2 脑部退行性疾病脑CT可辅助诊断阿尔茨海默病帕金森病等神经退行性疾病阿尔茨海默病CT可见脑萎缩如海马体缩小及脑室扩大,但早期诊断需结合MRI或生物标志物帕金森病CT可显示中脑黑质多巴胺能神经元减少及路易小体相关改变,但MRI或功能影像更敏感3 脑部炎症脑CT可检测脑炎脑膜炎等;肝脏专项病变除上述腹部检查外,CT对肝脏病变的检出尤为敏感可发现肝硬化肝脏形态改变脂肪肝密度降低肝脓肿环形强化灶及肝血管瘤典型“快进慢出”强化表现等,为临床治疗提供关键依据CT通过断层成像技术,能精准显示人体内部结构,为多种疾病的早期诊断治疗方案制定及预后评估;脑CT检查能查出以下主要疾病脑部出血脑CT对急性脑出血高度敏感,可快速显示血肿位置大小及出血量,帮助判断出血严重程度,是急诊诊断脑出血的首选方法脑部梗死通过观察脑组织密度变化,脑CT可发现脑梗死灶,确定梗死范围及部位,尤其对发病24小时内的超急性期梗死有一定诊断价值脑部肿瘤脑CT能。
转载请注明来自极限财经,本文标题:《脑部CT,能检查出什么病》

京公网安备11000000000001号
京ICP备11000001号
还没有评论,来说两句吧...