2 补牙或假牙修复 适用情况由于蛀牙或牙体缺损引起的牙缝隙大 修复原理对于蛀牙,可以通过补牙材料填充牙缝对于牙体缺损,可以考虑使用假牙来修复牙缝,恢复牙齿的完整性和美观3 牙周病治疗与牙套修复结合 适用情况由于牙龈萎缩牙周病引起的牙缝隙大 修复步骤 首先,加强口腔。
牙齿矫正器矫正不仅能够解决牙缝大的问题,还能改善牙齿的排列和咬合关系,提升口腔健康和美观度二烤瓷牙矫正 烤瓷牙矫正则是通过重塑牙齿的形式,改变牙齿之间的关系,从而解决牙缝大的问题这种方法通常需要对牙齿进行一定程度的磨削,然后制作并安装烤瓷牙冠,以恢复牙齿的正常形态和排列烤瓷牙矫正具。
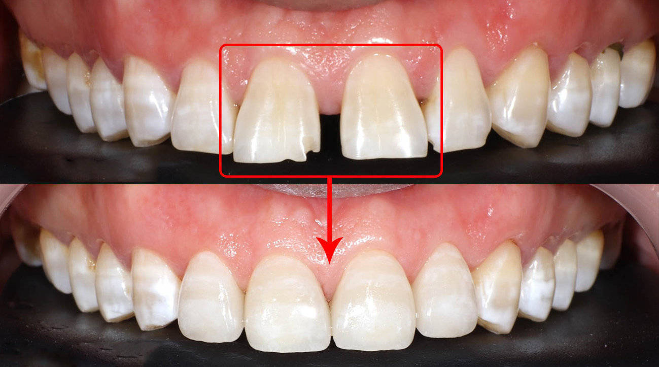
瓷贴面是将薄层瓷片粘贴于牙齿表面,遮盖牙缝并改善美观,耐磨性强但费用较高牙冠修复适用于牙缝较大或牙齿存在其他缺陷的情况,通过全冠包裹恢复形态和功能牙齿贴片采用特殊材料粘贴于牙面,操作简单但需定期更换若牙缝由牙龈退缩引起,可通过牙龈移植或引导组织再生术恢复牙龈高度和健康修复后需注意。
进一步治疗措施如果软组织无法恢复到以前的状态,对牙周功能以及美观产生明显影响,临床上可以选择进行牙周手术,如牙龈延长术或游离龈的移植手术,以恢复牙根部的牙周功能和美观总结洗牙后牙缝变大虽有可能自行恢复,但恢复程度因个体差异而异若牙缝问题持续存在且对牙周功能及美观产生影响,应及时就医。
洗牙后牙缝很大的情况通常会逐渐恢复,且这并非牙齿本身的变化以下是具体分析洗牙后的牙缝感是暂时的洗牙过程中,牙医会清理掉牙齿表面的牙石和牙菌斑这些物质长时间积累在牙齿表面,可能会使牙齿间的间隙在视觉上显得不那么明显当它们被去除后,牙齿的自然间隙就会显得更为明显,从而给人一种。
转载请注明来自极限财经,本文标题:《牙缝变大还能恢复吗》

京公网安备11000000000001号
京ICP备11000001号
还没有评论,来说两句吧...