肺癌患者咳血怎么治疗
1、一少量咳血的处理若咳血量较少如痰中带血丝或小量血块,患者需立即卧床休息,减少活动以降低出血风险同时可口服止血药物,如氨甲环酸片云南白药胶囊等,但需严格遵医嘱用药,避免自行调整剂量此外,需保持环境安静,避免情绪激动...
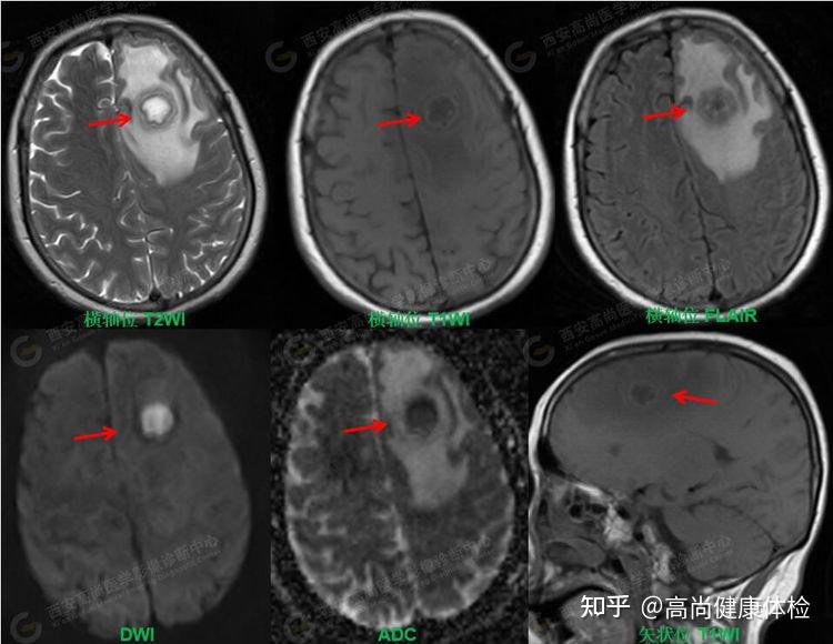
化脓性脑膜炎后遗症有哪些
化脓性脑膜炎可能遗留的后遗症主要包括以下几点脑积水这是化脓性脑膜炎常见的后遗症之一,可能由于炎症导致的脑脊液循环障碍所引起脑积水可能进一步影响患者的认知功能和运动能力癫痫部分化脓性脑膜炎患者在康复后可能出现癫痫发作,...
肚子右上方隐隐的疼怎么回事
1、肚子右边隐隐作痛可能的原因有多种,主要包括以下几点右上腹痛肝脏疾病如慢性病毒性肝炎原发性肝癌慢性肝脓肿等慢性胆道疾病如胆管运动功能障碍胆囊切除术后综合征慢性胆囊炎原发性胆囊癌等肝曲部结肠癌也是右上腹痛的一种可能原...
脸色苍白是什么原因引起?(面色萎黄唇色苍白手脚冰凉)
气血不足?这些信号正在“报警”:中医常说“气血为生命之本”,气血充盈则面色红润、精力充沛,气血亏虚则身体会发出一系列“求救信号”。如果你经常出现面色萎黄、唇色苍白、手脚冰凉,或是稍微活动就气短乏力、头晕眼花,甚至伴随...






京公网安备11000000000001号
京ICP备11000001号