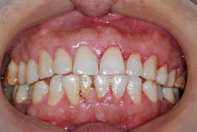
牙周炎的症状表现有哪些
牙周炎的表现症状主要包括以下方面牙龈出血牙周炎患者常在刷牙进食硬物或无明显诱因时出现牙龈出血,这是早期典型症状炎症刺激导致牙龈血管通透性增加,轻微触碰即可引发出血,长期忽视可能加重病情牙龈红肿炎症反应引发局部血管扩张...
脾胃虚弱的症状表现(脾胃虚弱的症状表现有哪些)
脾胃虚弱的症状有很多,常见的表现为面色萎黄(面色黄而无光泽)、腹泻、身体瘦弱、极易疲倦。...
臀部疼痛是怎么回事,
1、臀部肌肉痛可能有以下几种原因久坐导致原因长时间保持坐姿会导致臀部肌肉长时间受压,进而引发疼痛缓解方法建议久坐数小时后起身活动身体,可以有效缓解臀部疼痛症状腰椎疾病原因如腰椎间盘突出等腰椎疾病,可能引发臀部的放射性...
治冻疮的药哪种好(这些老药治冻疮效果好)
冻疮是寒冬或初春季节,由寒冷引起的局限性皮肤炎症损害。冻疮虽不是什么大病,但如果不积极防治,极易破溃感染,致使病情迁延不断,十分扰人。近年临床研究证实,一些原本并非用于治疗冻疮的传统“老药”却可用于冻疮治疗,而且效果...
撤退性出血后怀孕几率大吗
回答病情分析 你好,根据你的情况,是服用避孕药的情况,后出现撤退性出血的情况,这个很正常 指导意见 建议目前怀孕的可能性不大,建议你观察就行,有可能会导致月经紊乱的情况。 根据你的描述,你是服用了紧急避孕药,然后出现...
止咳宝片的作用(特一药业止咳宝片疗效显著)
金融界10月17日消息,特一药业在互动平台表示,公司核心产品止咳宝片的优势主要体现为:疗效显著,见效快,特别是针对虚寒型咳喘,经临床试验,有效率达100%,是市面上少有的针对寒性咳嗽的药物之一。目前,止咳宝片已具有稳...




京公网安备11000000000001号
京ICP备11000001号